AyFm 100.5
  • 21 Eylül 2025, Pazar 12:16

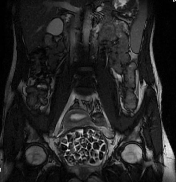
Vücudundan 287 tane taş çıkarıldı

Doğumsal ürolojik hastalıkla dünyaya gelen 21 yaşındaki Fatma Nur Öztürk, şiddetli karın ağrısı şikayetiyle hastaneye gitti, yapılan operasyonla vücudundan 287 adet taş çıkarıldı. Taşlar hem sağlık ekibini hem hasta ve ailesini şok ederken uzmanlar, "Mesaneden vajene ... haberin devamı için tıklayın

VÜCUDUNDAN 287 TANE TAŞ ÇIKARILDI, DOKTORLAR BİLE ŞOK OLDU: "LİTERATÜRDE ÇOK NADİR GÖRÜLEN BİR OLAY" KARIN AĞRISIYLA DOKTORA GİTTİ, VÜCUDUNDAN 287 TANE TAŞ ÇIKARILDI UZMANLAR: "BİZ DE O KADAR TAŞ BEKLEMİYORDUK, ÇOK ŞAŞIRDIK"

VÜCUDUNDAN 287 TANE TAŞ ÇIKARILDI, DOKTORLAR BİLE ŞOK OLDU: "LİTERATÜRDE ÇOK NADİR GÖRÜLEN BİR OLAY" KARIN AĞRISIYLA DOKTORA GİTTİ, VÜCUDUNDAN 287 TANE TAŞ ÇIKARILDI UZMANLAR: "BİZ DE O KADAR TAŞ BEKLEMİYORDUK, ÇOK ŞAŞIRDIK"